Menu
Stwórz
Losowy
Stwórz konto
Zaloguj
0
0
0
Język
Deutsch
English
Español
Français
Italiano
Nederlands
Português
Suomi
Więcej...
Wyszukaj...
Polecane quizy
Wszystkie quizy
Nowe i zresetowane
Losowy
Najlepsze dzisiaj
Quizy użytkowników
Najnowsze
Wszystkie quizy po polsku
Stwórz quiz
Stwórz quiz
Nowy quiz z klikaniem
Nowy quiz z mapą
Nowy quiz wielokrotnego wyboru
Nowy quiz obrazkowy
Nowy quiz nagłej śmierci
Nowy quiz tekstowy
Nowy quiz z zaznaczaniem pól
Wykreślanki
Ostatnie wykreślanki użytkowników
Stwórz wykreślankę
Flash Cards
User Flash Cards
Create Flash Cards
Blogi
Blogi od użytkowników
Ostatnie blogi użytkowników
Stwórz bloga
Więcej
Stwórz wykres
Minigry na JetPunk
O JetPunku
O nas
Kontakt
Rejestr zmian
JetPunk Premium
Sadzenie drzew
Site Map
Terms of Service
Ciemny motyw
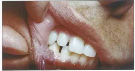
Zmiany pierwotne i wtórne jamy ustnej
nazwij przedstawione wykwity pierwotne i wtórne
Quiz wykonany przez
tymzor
Profil
Quizy
Subskrybowany
Subskrybuj?
+ Playlist
Ocena:
Ostatnio zaktualizowany: 2 lutego 2024
Jeszcze nie spróbowałeś rozwiązać tego quizu.
Więcej informacji o quizie >>
Po raz pierwszy przesłany
2 lutego 2024
Razy rozwiązany
4
Średni wynik
50,0%
Zgłoś quiz
Zgłoś
Statystyki quizu i odpowiedzi >>
Shared scores >>
Zacznij quiz
4:00
Poddajesz się?
Wpisz odpowiedź tutaj
0
/ 16 odgadnięto
Zapauzuj
Brak limitu czasowego
Pomoc
Czas użyty
00:00
Najlepszy czas
00:00
Quiz jest zapauzowany. Zostały ci jeszcze
.
Wznów
Copied!
Punktacja
Twój wynik to
/
=
%
Twój wynik jest taki sam lub lepszy od
% uczestników testu
także zdobyło 100%
Średni wynik to
Twój rekordowy wynik to
Twój najszybszy czas to
więcej statystyk >>
shared scores >>
Przewiń w dół, aby zobaczyć odpowiedzi i więcej statystyk ...
Rozwiąż quiz ponownie
Challenge Users
Save Your Stats
Stwórz konto
Więcej propozycji
Losowe państwa na mapie Afryki
Czy zdołasz wymienić 15 państw podświetlonych na poniższej mapie? Odpowiedzi zmieniają się za każdym razem!
Państwa Afryki
Wymień wszystkie kraje, które są zaliczane jako geograficzna część Afryki.
Stolice Europy
Spróbuj odgadnąć stolicę każdego państwa w Europie.
Zwycięzcy mistrzostw świata
Do każdego roku przyłącz państwo, które wygrało wtedy mistrzostwa świata piłki nożnej mężczyzn.
Losowy
Więcej >
Odśwież
Komentarze
Nie ma jeszcze komentarzy
Dodaj komentarz
Nowe i popularne
all
de
en
es
fi
fr
it
nl
pl
pt
Państwa Świata
Państwa Europy
Państwa według granic w 90 sekund
Państwa na literę D
Państwa na literę P
Siedem Kontynentów - Quiz na mapie
Państwa Europy według granic w 30 sekund
Stolice Świata
Państwa na literę A
Państwa na literę B
Państwa na literę C
Szybkie pisanie do 100
Losowy
Najlepsze dzisiaj