Menú
Crear
Aleatorio
Registrar
Conéctate
0
0
0
Idioma
Deutsch
English
Français
Italiano
Nederlands
Polski
Português
Suomi
Más...
Buscar...
Pruebas destacadas
Recomendado
Nuevas y reiniciadas
Aleatorio
Lo mejor de hoy
Quizzes de usuarios
Más recientes
Todos nuestras pruebas en español
Crear quiz
Crear prueba
Nuevo quiz de clic
Nuevo quiz de mapa
Nuevo quiz de multiple elección
Nuevo quiz de imagenes
Nuevo quiz de muerte súbita
Nuevo quiz de texto
Nuevo quiz de "selección de cuadros"
Sopa de letras
Sopas de letras recientes
Crear una sopa de letras
Blogs
Blogs de Usuarios
Blogs recientes de usuarios
Crear un blog
Más
Crear una gráfica
Minijuegos de JetPunk
Acerca de JetPunk
Sobre nosotros
Contáctanos
Registro de cambios
JetPunk Premium
Planteo de árboles
Site Map
Terms of Service
Modo oscuro
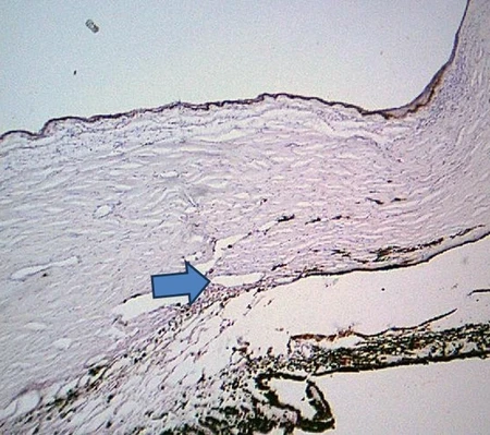
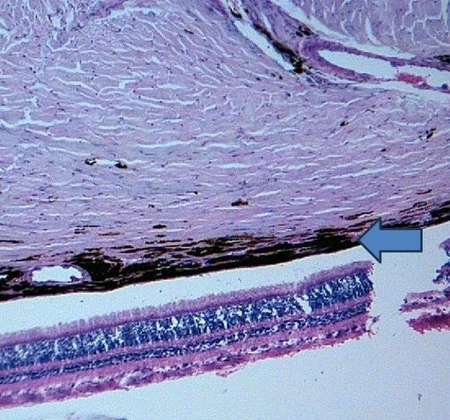
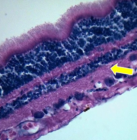
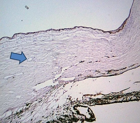
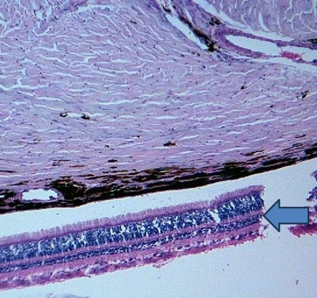
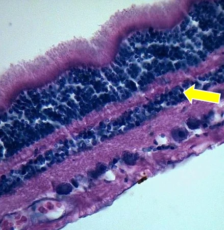
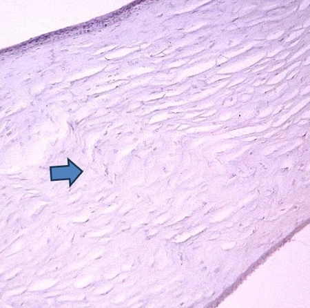
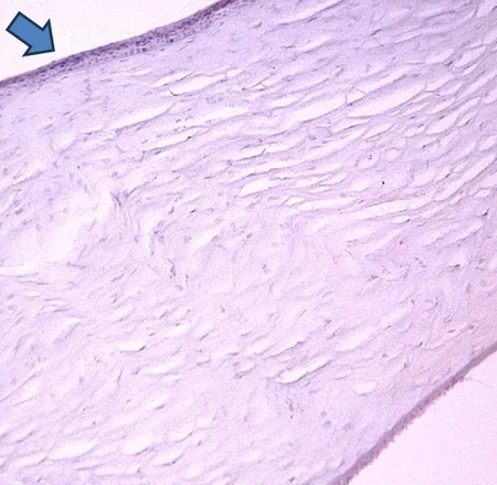
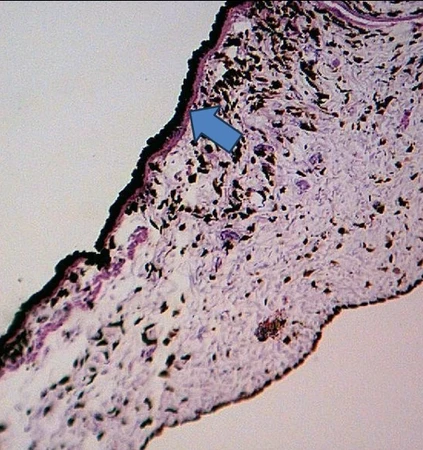
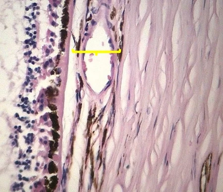
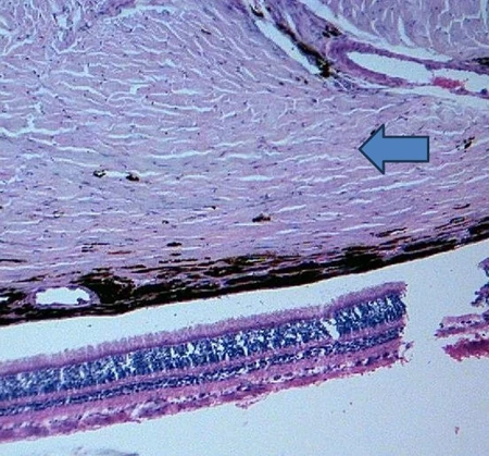
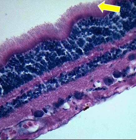
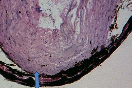
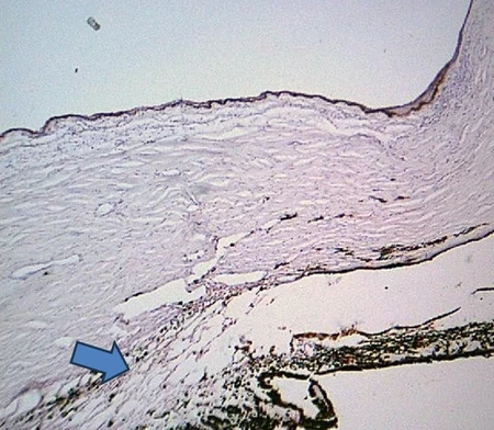
Histología de globo ocular
Escribe lo que se ve en la imágen o lo que esta señalado por una flecha, corchete o figura.
Creado por
Juanafilaxia
Perfil
Pruebas
Suscrito
¿Suscribirse?
+ Playlist
Puntuar:
Últimas actualizadas: 22 de octubre de 2025
Aún no has intentado esta prueba
Más información sobre la prueba >>
Se publicó por primera vez
22 de octubre de 2025
Intentos
8
Puntuación promedio
42,9%
Informar Prueba
Informar
Estadísticas sobre la prueba y sobre respuestas >>
Estadísticas de amigos >>
Empezar la prueba
12:00
¿Rendirse?
Escribe la respuesta aquí
0
/ 42 adivinados
Pausar
Sin tiempo
Ayuda
Tiempo usado
00:00
Mejor tiempo
00:00
La prueba está en pausa. Tienes
.
Reanudar
Copied!
Puntuación
Tu puntuación es
/
=
%
Esto supera o iguala
% de los que han intentado la prueba
también puntuaron 100%
La puntuación promedio es
Tu puntuación más alta es
Tu tiempo más rapido es
más estadísticas >>
estadísticas de amigos >>
Sigue desplazándote hacia abajo para ver las respuestas y más estadísticas ...
Reintentar la prueba
Challenge Friends
Save Your Stats
Registrar
Más sugerencias
Contar lo más alto posible - 15 segundos de sprint
Esto es una prueba de su velocidad de escritura. Preparados, listos, ¡ya!
Mapa mundial sin 20 países aleatorios
¡20 países aleatorios han sido eliminados del mapa del mundo! ¿Puedes identificarlos en 3 minutos?
Banderas rojas, blancas y azules - ¡Muerte súbita!
Haz clic en los países cuyas banderas son rojas, blancas y azules.
Gira el globo y adivina los países
Gira a una estrella
aleatoria
en el mapamundi y adivina los
15 PAÍSES OCULTADOS
.
Aleatorio
Más >
Actualizar
Comentarios
No hay comentarios todavía
Añadir comentario
Nuevos y populares
all
de
en
es
fi
fr
it
nl
pl
pt
Países del mundo
Estados de los Estados Unidos
Mapa de África
Países aleatorios de Europa en un mapa
Mapa de los Estados de México
Países que hablan español
Países que comienzan con V
Asia por fronteras en 30 segundos
Países más poblados
Países que comienzan con R
Comunidades Autónomas de España
Países africanos por las primeras dos letras
Aleatorio
Lo mejor de hoy