Name the blood cell - Statistics

General Stats
  • This quiz has been taken 48 times
  • The average score is 4 of 15
Answer Stats
Picture Answer % Correct
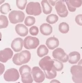
Red Blood Cell (RBC)
76%
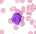
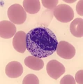
Lymphocyte
66%
Platelet
53%
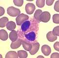
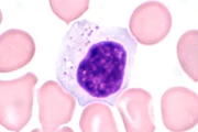
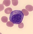
Monocyte
47%
Basophil
42%
Eosinophil
37%
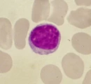
Megakaryocyte
13%
Mast Cell
11%
Blast
8%
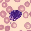
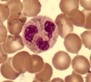
Neutrophil (Segmented)
8%
NK/LGL Cell
8%
Plasma Cell (Plasmocyte)
8%
Metamyelocyte
5%
Myelocyte
5%
Normoblast (NRBC)
5%
No matching quizzes found
Score Distribution
Percent of People with Each Score
Percentile by Number Answered
Your Score History
You have not taken this quiz