thumbnail

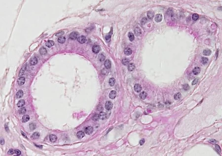
Tipo de tejido epitelial de revestimiento y glandular

*No es necesario escribir "epitelial"
Creado por
Juanafilaxia
Puntuar:
Últimas actualizadas: 12 de julio de 2024
Aún no has intentado esta prueba
Se publicó por primera vez17 de abril de 2024
Intentos21
Puntuación promedio46,2%
Informar PruebaInformar
10:00
Vas a pasar, animos:
0
 / 13 adivinados
La prueba está en pausa. Tienes .
Puntuación
Tu puntuación es / = %
Esto supera o iguala % de los que han intentado la prueba también puntuaron 100%
La puntuación promedio es
Tu puntuación más alta es
Tu tiempo más rapido es
Sigue desplazándote hacia abajo para ver las respuestas y más estadísticas ...
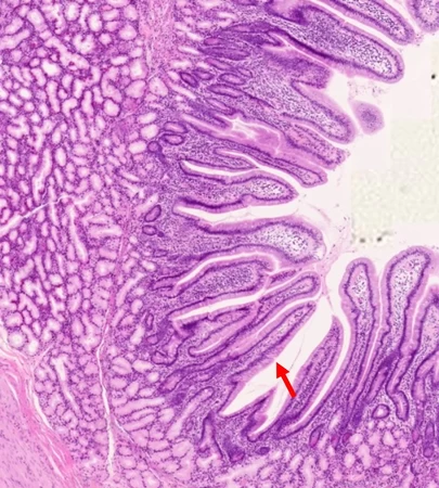
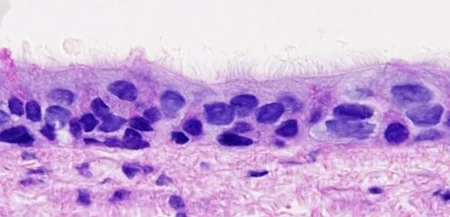
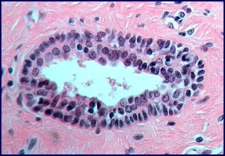
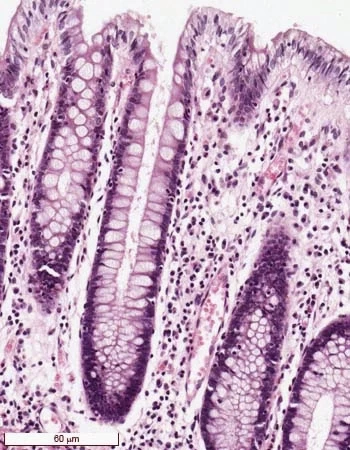
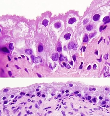
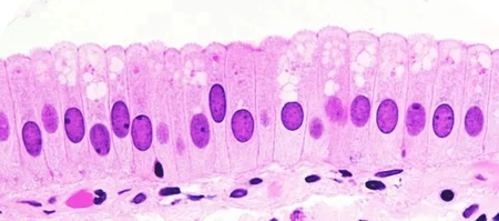
(alvéolos) Epitelio...
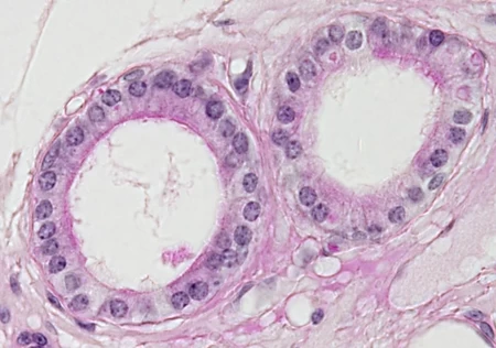
(glándulas) Epitelio...
(trompas de falopio) Epitelio...
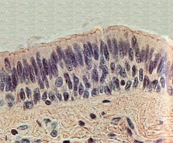
(vías aéreas) Epitelio...
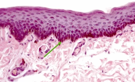
(epidermis) Epitelio...
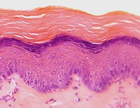
(esófago) Epitelio...
(glandula sublingual) Epitelio...
(pequeñas zonas de la faringe) Epitelio...
(vejiga) Epitelio...
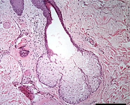
Tipo de glándula...
Tipo de glándula...
Tipo de glándula...
Tipo de glándula holocrina
Save Your Stats
Más sugerencias
¿Conoces bien la historia reciente de España? Trata de aportar los detalles que faltan en las descripciones de los siguientes acontecimientos.
Haz clic en las capitales mundiales, pero solo en las capitales. ¡Hacer clic en otras ciudades inmediatamente finaliza la prueba!
¿Puedes adivinar los países que utilizan el euro sin hacer clic en los países con otra moneda?
Haz clic en alguna parte de cada una de las 50 provincias españolas en este mapa vacío. Pero si haces un error, la prueba finaliza.
1 Comentarios
+1
Nivel 65
17 de abr de 2024
¿Eres científica?