Tipo de tejido epitelial de revestimiento y glandular - Estadísticas

Estadísticas generales
  • Esta prueba ha sido intentada 21 veces
    14 desde el último reinicio
  • La puntuación promedio es 6 de 13
Estadísticas de respuestas
Imagen Hint Respuesta % Correcto
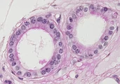
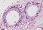
(glándulas) Epitelio... Simple cúbico
90%
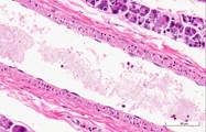
(alvéolos) Epitelio... Simple plano
90%
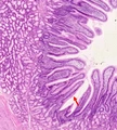
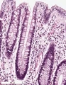
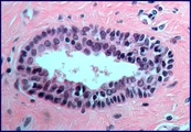
(trompas de falopio) Epitelio... Simple cilíndrico
80%
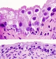
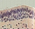
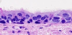
(vías aéreas) Epitelio... Pseudoestratificado
70%
(pequeñas zonas de la faringe) Epitelio... Estratificado cilíndrico
40%
(vejiga) Epitelio... Estratificado de transición
40%
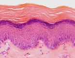
(epidermis) Epitelio... Estratificado plano queratinizado
40%
(glandula sublingual) Epitelio... Estratificado cubico
30%
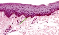
(esófago) Epitelio... Estratificado plano no queratinizado
30%
Tipo de glándula... Tubular
20%
Tipo de glándula... Alveolar
10%
Tipo de glándula... Ramificada
10%
Tipo de glándula holocrina Sacular
10%
No se encontraron pruebas coincidentes
Distribución de puntuación
Porcentaje de gente con cada puntuación
Porcentaje por número respondido
Historial de tus puntuaciones
No has intentado esta prueba desde el último reinicio